Chiari Malformation Type 1 Chiari Malformation Type 1 Chiari malformation, Chiari, Cancer

Descobri a pouco que tenho uma má formação de chiari tipo 1.isso é grave? Dra. Aline Saré de Melo. Neurocirurgião. Rio de Janeiro. Boa noite, Na maioria das situações o Chiari I tem boa evolução. Entretanto, alguns casos são cirúrgicos. Marque uma consulta com um neurocirurgião para que seja de forma adequada avaliada.
Chiari Malformation Non Surgical Treatment A Comprehensive Guide MartLabPro

Solitamente, la Arnold-Chiari di tipo III è caratterizzata da idrocefalo e da siringomielia; quest'ultima rappresenta una condizione particolare, caratterizzata dalla presenza di una o più cisti all'interno del canale spinale.. MALFORMAZIONE DI CHIARI DI TIPO IV. La malformazione di Chiari di tipo IV si caratterizza per il mancato sviluppo di una parte del cervelletto (agenesia cerebellare).
Chiari Malformations Neurosurgery Geeky Medics

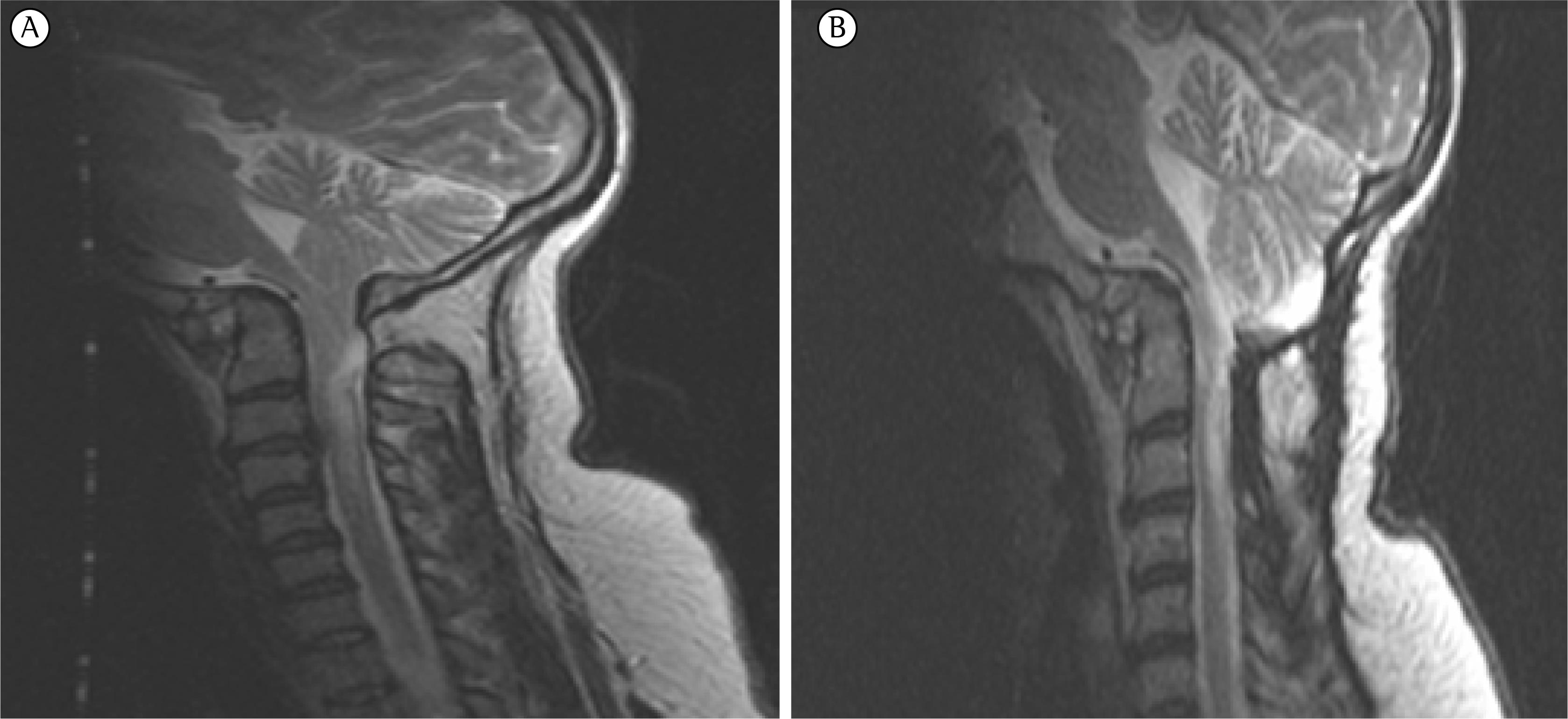
Chiari I malformation is the most common variant of the Chiari malformations and is characterized by a caudal descent of the cerebellar tonsils (and brainstem in its subtype, Chiari 1.5) through the foramen magnum. Symptoms are proportional to the degree of descent. MRI is the imaging modality of choice. Treatment with posterior decompression.
Figure 1 from Malformación de Chiari tipo I tratada con de la fosa posterior

La malformación de Chiari tipo 1 es una anomalía estructural del cerebelo (la parte del cerebro que controla el equilibrio). Consiste en una salida de la parte inferior del cerebelo en el foramen magnum (el agujero grande en la base del cráneo, que permite el paso de la médula espinal), sin incluir el tronco cerebral.Normalmente, únicamente parte de la médula espinal pasa a través de.
Conheça a malformação de ArnoldChiari Tipo 1 Dra. Camila Neuro

La malformación de Chiari que produce síntomas, por lo general, se trata con cirugía. El objetivo es prevenir más daños en el sistema nervioso central. La cirugía también puede aliviar o estabilizar los síntomas. Puede reducir la presión en el cerebelo y en la médula espinal, y restaurar el flujo normal del líquido cefalorraquídeo.
ArnoldChiariMalformation Neurochirurgie Inselspital Bern

Boa sorte. A malformação de Arnold-Chiari tipo 1.5 é uma variação do tipo 1, em que há uma herniação do cerebelo e tronco cerebral através do forame magno. Ela pode ser considerada grave, uma vez que pode causar diversos sintomas e complicações. Entre as complicações mais comuns estão dores de cabeça, tonturas, náuseas, vômitos.
Malformación de Chiari tipo I en un paciente con síndrome de Poland

Malformação de Chiari: O que você precisa saber. Existem quatro tipos de malformações de Chiari: Tipo 1 ocorre quando a base do crânio e a área da parte superior da coluna vertebral não estão formados apropriadamente, fazendo com que parte do cerebelo se protubere através do forame magno. Este tipo ocorre de forma não perceptível até que o problema agrave-se na adolescência ou na.
RM en secuencia T1. Malformación ArnoldChiari tipo 1. Herniación... Download Scientific Diagram
A forma mais grave desta patologia consiste na herniação da porção posterior do cerebelo e do tronco cerebral através do forame magno,. O Chiari tipo 1 é uma mal formação do crânio que acontece na altura da junção entre o pescoço e a cabeça. Ocorre quando uma parte do encéfalo chamada de cerebelo, entra no canal vertebral (Figura).
Chiari Treatment Walnut Creek

Dr. Roberto Settembre. La Sindrome di Arnold Chiari o Malformazioni di Chiari è una patologia caratterizzata dalla discesa patologica delle tonsille del cervelletto, appendici che si trovano alla base del cervelletto, attraverso il foro che collega il cervello con il midollo spinale. La discesa delle tonsille del cervelletto può rappresentare.
Malformación de Chiari tipo 1. RM cerebral, proyección lateral.... Download Scientific Diagram

tipo 1, detto Chiari I, è il più comune e consiste nello scivolamento di due piccoli lobi presenti nella faccia inferiore del cervelletto, le tonsille cerebellari, all'interno del canale spinale attraverso il forame magno. La malformazione di Chiari I va distinta dalla "erniazione primitiva delle tonsille cerebellari", definita oggi come.
Malformation chiari type 1

Malformação de Chiari: a doença neurológica que fez jovem obcecada por viagens ficar presa a uma cama. - Os tipos 1 e 2 são os mais comuns; - Os sintomas diferem, mas no tipo 1 incluem.
O que é Malformação de Chiari e como tratar? INEURON

Síndrome de Arnold-Chiari tipo 2: acontece quando além do cerebelo, o tronco encefálico também se estende para o forame magno. Esse tipo de malformação é mais comum de ser visto em crianças com espinha bífida, que corresponde a uma falha no desenvolvimento da medula espinhal e das estruturas que a protegem.
Malformação de Chiari e síndrome de apneia central do sono eficácia do tratamento com

Tipo "1,5". Recentemente, vem se descrevendo a Síndrome de Arnold-Chiari "1,5", com descida das amígdalas cerebelosas e herniação do tronco cerebral no orifício occipital.. a descida das amígdalas cerebelosas em um caso de Síndrome de Arnold Chiari I é o resultado de uma força de tração anormal exercida sobre a medula.
Malformación de Chiari Neurocirugía Madrid

De acordo com estudos recentes, estima-se que cerca de 1 em cada 1.000 pessoas possa ter a Malformação de Chiari do tipo I, embora muitos possam ser assintomáticos ou apresentar sintomas leves.Além disso, é mais comum em adultos jovens, entre 20 e 40 anos de idade.. Neste artigo, vamos explorar o que é a Malformação de Chiari, seus tipos, causas, sintomas e opções de tratamento.
Malformación de Chiari tipo I en una embarazada. Reporte de caso Revista de Ginecología y

La malformazione di Arnold-Chiari tipo I è una malformazione del sistema nervoso centrale, caratterizzata dalla dislocazione caudale delle tonsille cerebellari, che si trovano 5 mm più in basso rispetto al forame magno, con o senza siringomielia. L'esordio e la gravità dei segni clinici sono variabili e comprendono la cefalea suboccipitale.
Chiari malformation NHS

La malformación de Chiari tipo 1 es una enfermedad en la que una pequeña porción de la parte posterior del cerebro desciende a la columna vertebral, en donde puede impedir el flujo del líquido cefalorraquídeo. Los síntomas del trastorno, que pueden ser progresivos y discapacitantes, normalmente no aparecen hasta los últimos años de la.
.